Loading
TeleDermConsult-logo
  • Recent Submissions
  • Search
  • Diagnosis
  • Quiz
  • Image comparison
  • Submit
  • Teaching Cases
  • Index
  • About

<< Back to Diagnosis Page

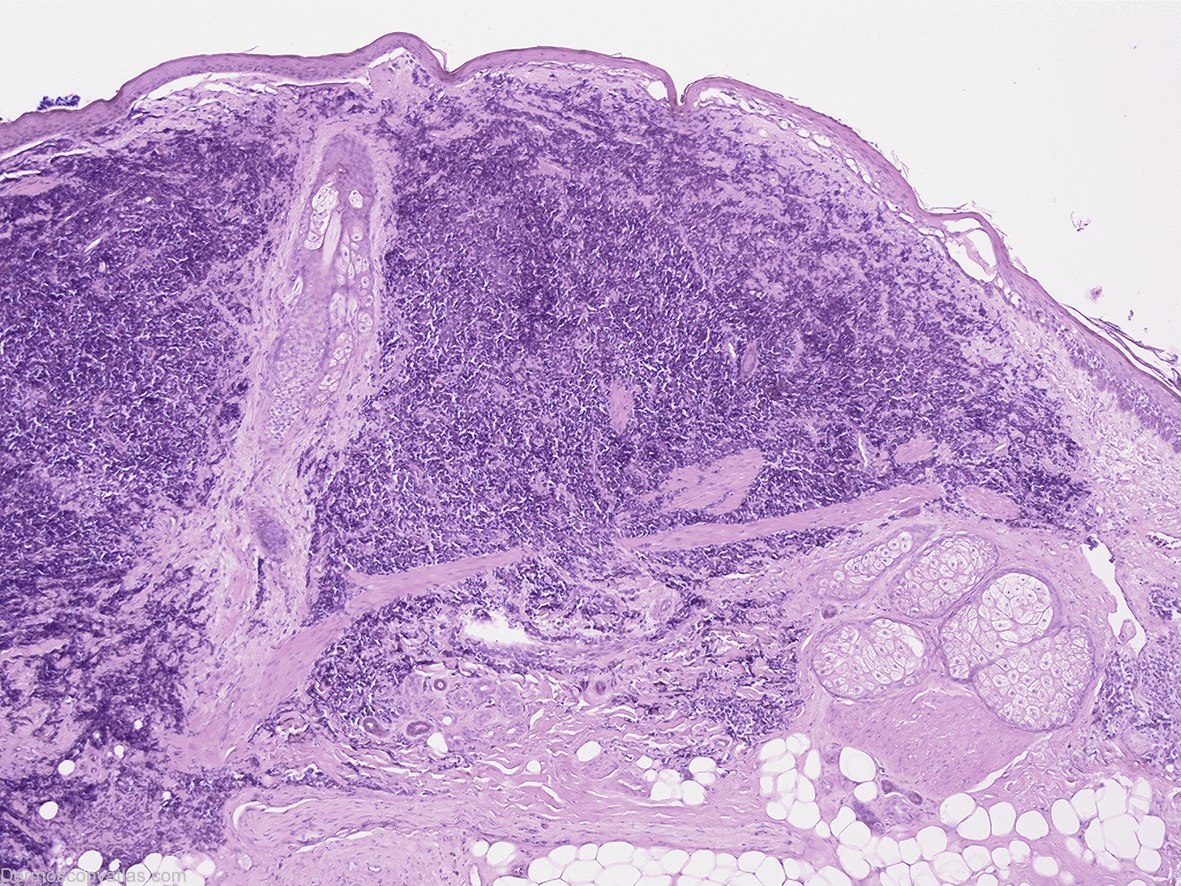
Image Number #2841 (Merkel cell carcinoma)

Site: Scalp

Diagnosis: Merkel cell carcinoma

Sex: M

Age: 83

Type: Dermlite Non Polarised

Submitted By: Cliff Rosendahl

View Full Size Image

Click Here to View Details
Click Here to View Details
Click Here to View Details
Click Here to View Details
Click Here to View Details

Description: Dermoscopy - This lesion is apigmented and structureless. The only dermoscopic features are a distinctive cherry colour and a few fine blood vessels

History: This 83 year old gentleman presented for a routine skin check and this lesion was discovered. Prior to biopsy this lesion was lasered without biopsy by another practitioner but subsequent wide excision of the area discovered a residual dermal based Merkel cell carcinoma at the site where this lesion had been.

DermNetNZ   eMedicine   PubMed   Dermatology Online   Archives   JAAD for "Merkel cell carcinoma"

  • Recent Submissions
  • Search
  • Diagnosis
  • Quiz
  • Image comparison
  • Submit an Image
  • Teaching Cases
  • Index
  • About

Copyright 2022. Dermoscopy Atlas. ALL Rights Reserved.

Change Image