Loading
TeleDermConsult-logo
  • Recent Submissions
  • Search
  • Diagnosis
  • Quiz
  • Image comparison
  • Submit
  • Teaching Cases
  • Index
  • About

<< Back to Diagnosis Page

Image Number #3175 (Melanoma in situ)

Site: Back

Diagnosis: Melanoma in situ

Sex: M

Age: 55

Type: Dermlite Non Polarised

Submitted By: Ian McColl

View Full Size Image

Click Here to View Details
Click Here to View Details
Click Here to View Details
Click Here to View Details

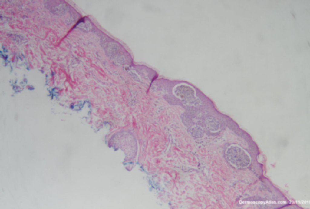
Description: Brown clods of varying sizes

History:

A man in his late 50s had this lesion noted when a full skin check was being performed. It was a melanoma in situ  with markedly atypical junctional melanocytic proliferation including a focal lentiginous pattern and regressional changes. No Pagetoid spread. Pigmentary incontinence in the upper dermis. (Hence the grey dots) The brown and sometimes black clods represent nests of melanocytes at the dermoepidermal junction , sometimes pushing higher into the epidermis giving the darker colour. The size of the clods is due to the varying size of the nests.

DermNetNZ   eMedicine   PubMed   Dermatology Online   Archives   JAAD for "Melanoma in situ"

  • Recent Submissions
  • Search
  • Diagnosis
  • Quiz
  • Image comparison
  • Submit an Image
  • Teaching Cases
  • Index
  • About

Copyright 2022. Dermoscopy Atlas. ALL Rights Reserved.

Change Image