Loading
TeleDermConsult-logo
  • Recent Submissions
  • Search
  • Diagnosis
  • Quiz
  • Image comparison
  • Submit
  • Teaching Cases
  • Index
  • About

<< Back to Diagnosis Page

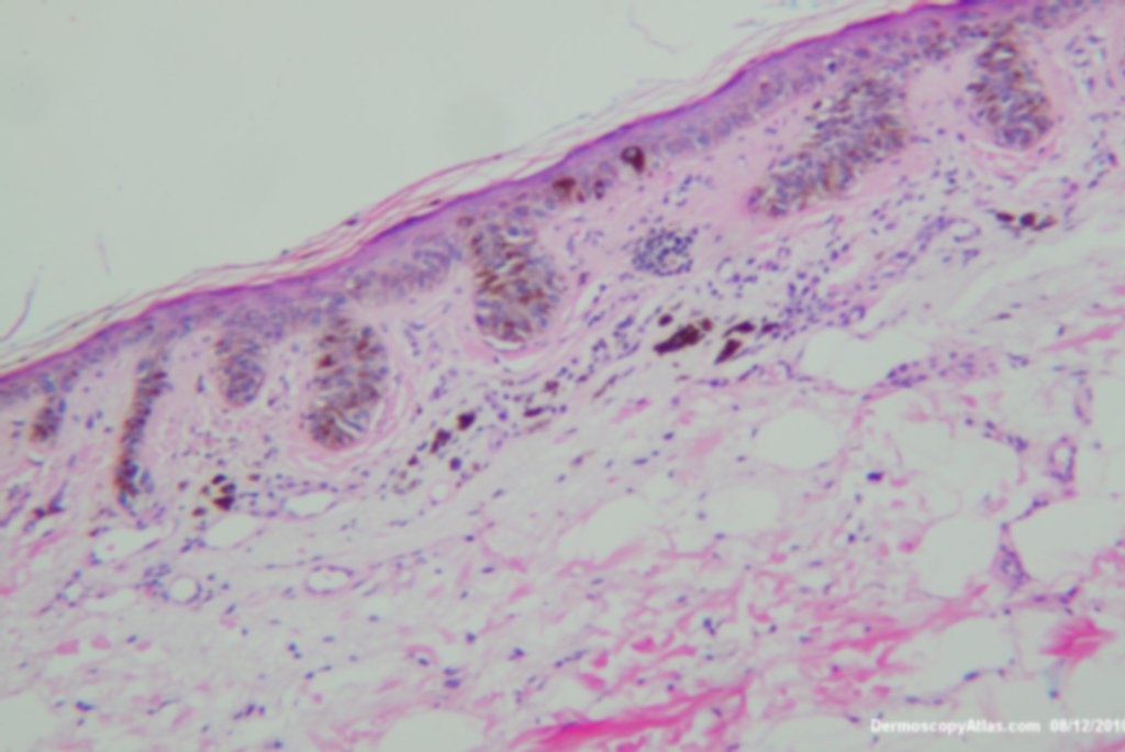
Image Number #3188 (Dysplastic Junctional Lentiginous Nevus)

Site: Back

Diagnosis: Dysplastic Junctional Lentiginous Nevus

Sex: M

Age: 93

Type: Dermlite Polarised

Submitted By: Ian McColl

View Full Size Image

Click Here to View Details
Click Here to View Details
Click Here to View Details

Description: 3 pigmented lesions on the back Lesion A

History:

 This lesion A on the left was shaved and reported as a dysplastic junctional lentiginous nevus.

DermNetNZ   eMedicine   PubMed   Dermatology Online   Archives   JAAD for "Dysplastic Junctional Lentiginous Nevus"

  • Recent Submissions
  • Search
  • Diagnosis
  • Quiz
  • Image comparison
  • Submit an Image
  • Teaching Cases
  • Index
  • About

Copyright 2022. Dermoscopy Atlas. ALL Rights Reserved.

Change Image