Loading
TeleDermConsult-logo
  • Recent Submissions
  • Search
  • Diagnosis
  • Quiz
  • Image comparison
  • Submit
  • Teaching Cases
  • Index
  • About

<< Back to Diagnosis Page

Image Number #3195 (Dysplastic Junctional Lentiginous Nevus)

Site: Back

Diagnosis: Dysplastic Junctional Lentiginous Nevus

Sex: M

Age: 93

Type: Heine

Submitted By: Ian McColl

View Full Size Image

Click Here to View Details
Click Here to View Details
Click Here to View Details

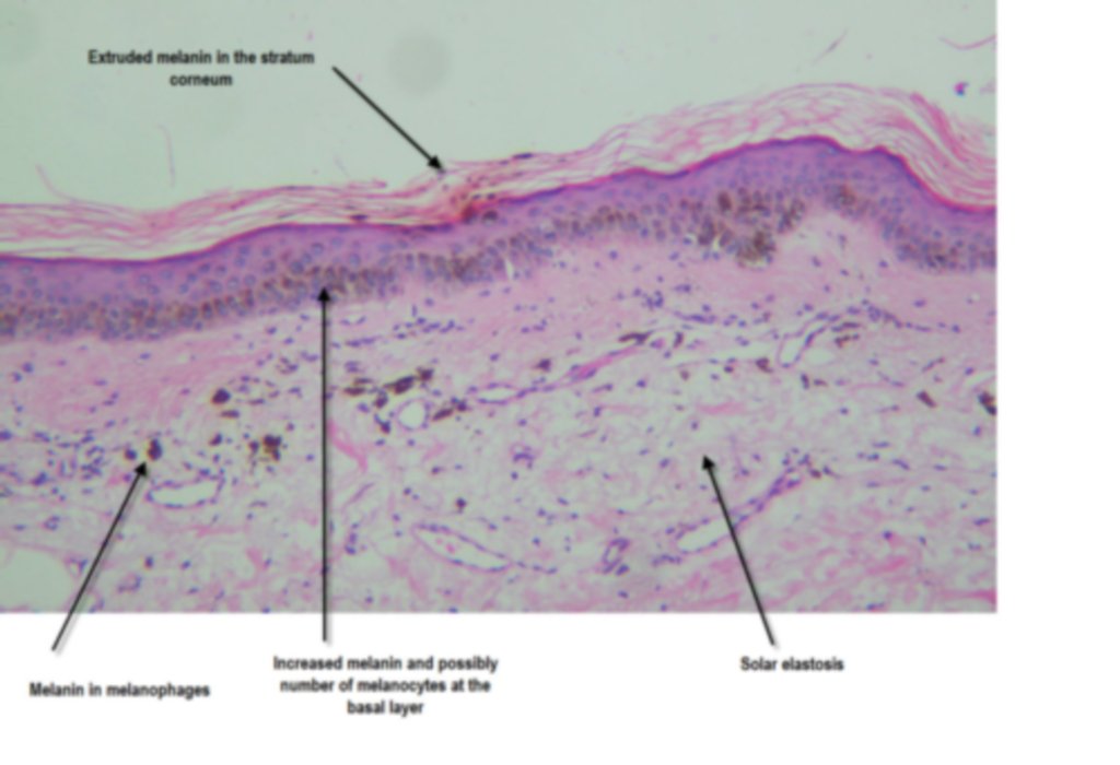
Description: Pigmented lesion back Labelled C Irregular outline and varying pigmentation clinically. This lesion has lines reticular with grey dots of regression and early polygons.

History:

This 93 years old man has severe solar damage with three atypical pigmented lesions on the back. This is the presentation of the labelled lesion C. I thought clinically this would be a melanoma but the histology was best described by the pathologist as dysplastic junctional lentiginous nevus. Other pathologists would describe this as lentiginous melanoma which I would tend to agree with.

View a YouTube video of this case and the two previous lesions from this patient.

DermNetNZ   eMedicine   PubMed   Dermatology Online   Archives   JAAD for "Dysplastic Junctional Lentiginous Nevus"

  • Recent Submissions
  • Search
  • Diagnosis
  • Quiz
  • Image comparison
  • Submit an Image
  • Teaching Cases
  • Index
  • About

Copyright 2022. Dermoscopy Atlas. ALL Rights Reserved.

Change Image