Loading
TeleDermConsult-logo
  • Recent Submissions
  • Search
  • Diagnosis
  • Quiz
  • Image comparison
  • Submit
  • Teaching Cases
  • Index
  • About

<< Back to Diagnosis Page

Image Number #3236 (Melanoma - Scalp location)

Site: Scalp

Diagnosis: Melanoma - Scalp location

Sex: M

Age: 62

Type: Dermlite Polarised

Submitted By: Ian McColl

View Full Size Image

Click Here to View Details
Click Here to View Details
Click Here to View Details
Click Here to View Details

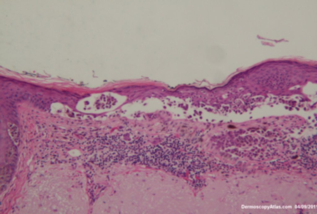
Description: Pigmented lesion scalp

History:

This lesion was noted fotuitously when the patient was having another procedure done on his back. Dermatoscopically it shows peripheral clods of varying sizes, multiple colours and on the enlarged dermatoscopic view some diffuse fine grey dots. It was an invasive melanoma Level 2 , 0.4mm in depth . The histology shows an unusual feature of acantholysis of the tumour nests.

DermNetNZ   eMedicine   PubMed   Dermatology Online   Archives   JAAD for "Melanoma - Scalp location"

  • Recent Submissions
  • Search
  • Diagnosis
  • Quiz
  • Image comparison
  • Submit an Image
  • Teaching Cases
  • Index
  • About

Copyright 2022. Dermoscopy Atlas. ALL Rights Reserved.

Change Image