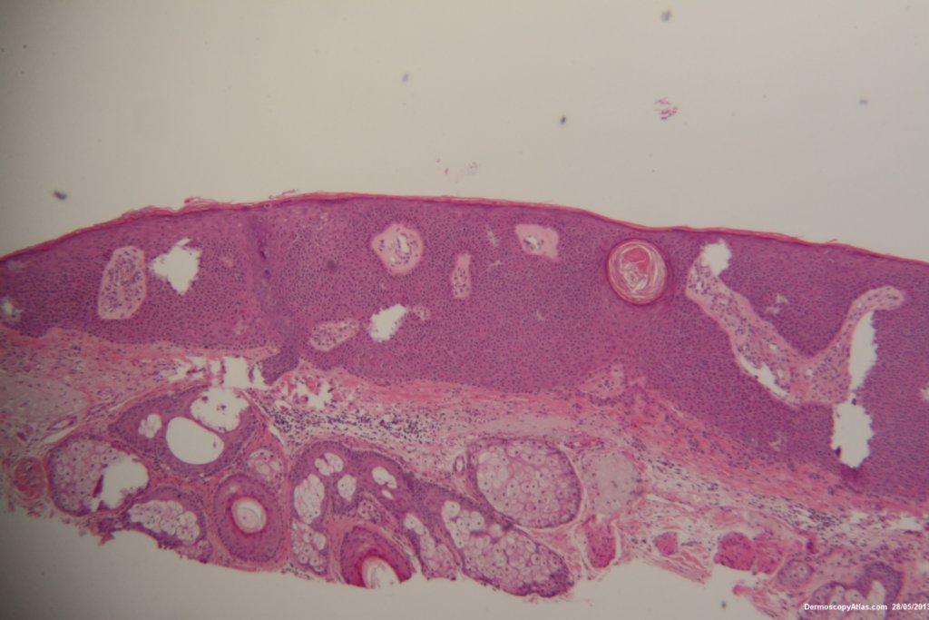
Site: Scalp
Diagnosis: Seborrhoeic keratosis
Sex: M
Age: 83
Type: Dermlite Non Polarised
Submitted By: Ian McColl
Description: Pigmentation near graft on scalp
History:
This was a case of scalp pigmentation looking like a lentigo maligna but actually being a seborrhoeic keratosis. The pigmentation is structureless with some milia. The area was shaved to confirm the diagnosis