Loading
TeleDermConsult-logo
  • Recent Submissions
  • Search
  • Diagnosis
  • Quiz
  • Image comparison
  • Submit
  • Teaching Cases
  • Index
  • About

<< Back to Diagnosis Page

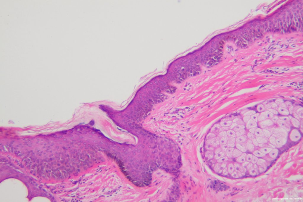
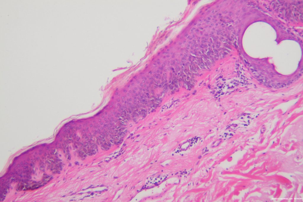
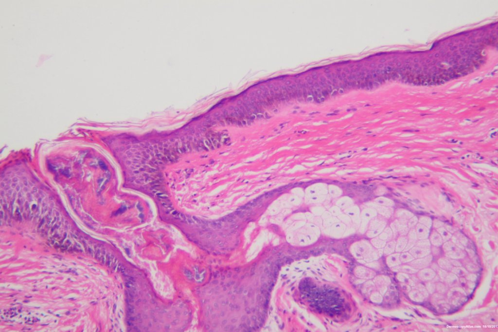
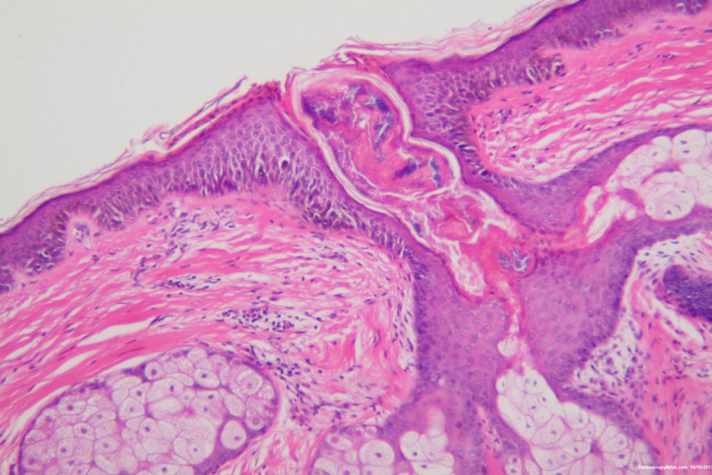
Image Number #3328 (Atypical Lentigo)

Site: Forehead

Diagnosis: Atypical Lentigo

Sex: M

Age: 73

Type: Heine

Submitted By: Ian McColl

View Full Size Image

Click Here to View Details
Click Here to View Details
Click Here to View Details
Click Here to View Details
Click Here to View Details
Click Here to View Details
Click Here to View Details

Description: Pigmented area forehead

History:

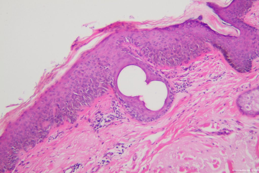
 This lesion has been slowly growing for at least 5 years. It has been examined dermatoscopically on several ocassions in that time and left but last visit it was noted to have several small areas of  colour change and some early grey circles dermatoscopically. Grey circles suggest melanocytic involvement of hair follicles which is an early feature of Lentigo maligna. The pathologist  reported this as an atypical lentigo saying there were insufficient features to diagnose a lentigo maligna or melanoma in situ. Other pathologists might disagree with this when you see the increased numbers of atypical melanocytes along the DEJ and the involvement of the infundibulum of several of the follicles. This was shaved off but the atypical melanocytes came to the edge of the shave.

View the video of this case 

 

View

This is not the same as an atypical solar lentigo which is a keratinocytic lesion with increased melanin in keratinocytes but no increase in melanocytes. The term Unstable Lentigo should also be avoided. If you were going to call it Atypical anything then Atypical Lentigo Simplex would help to indicate its melanocytic origin. Personally I think this is a lentigo maligna.

DermNetNZ   eMedicine   PubMed   Dermatology Online   Archives   JAAD for "Atypical Lentigo"

  • Recent Submissions
  • Search
  • Diagnosis
  • Quiz
  • Image comparison
  • Submit an Image
  • Teaching Cases
  • Index
  • About

Copyright 2022. Dermoscopy Atlas. ALL Rights Reserved.

Change Image