Loading
TeleDermConsult-logo
  • Recent Submissions
  • Search
  • Diagnosis
  • Quiz
  • Image comparison
  • Submit
  • Teaching Cases
  • Index
  • About

<< Back to Diagnosis Page

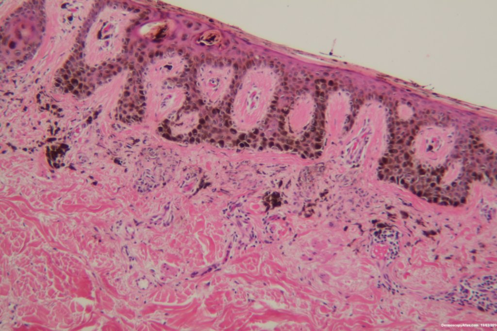
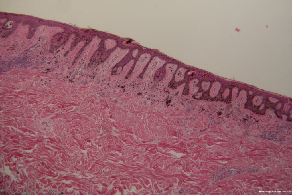
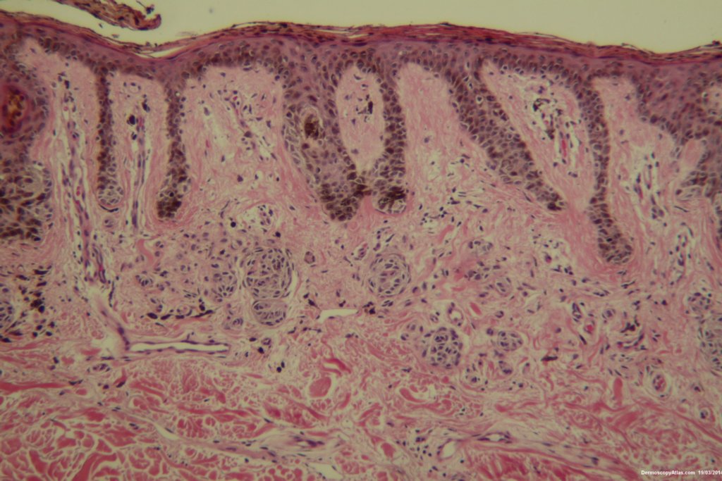
Image Number #3341 (Dysplastic Junctional Lentiginous Nevus)

Site: Back

Diagnosis: Dysplastic Junctional Lentiginous Nevus

Sex: M

Age: 73

Type: Heine

Submitted By: Ian McColl

View Full Size Image

Click Here to View Details
Click Here to View Details
Click Here to View Details
Click Here to View Details
Click Here to View Details
Click Here to View Details

Description: Pigmented lesion lower back.

History:

 An elderly male asked about the pigmented lesion on his lower back. The dermatoscopy showed internal lines and dark clods with a central dark structureless area. Histology showed a dysplastic junctional lentiginous nevus.

View a video of this case

 

 

DermNetNZ   eMedicine   PubMed   Dermatology Online   Archives   JAAD for "Dysplastic Junctional Lentiginous Nevus"

  • Recent Submissions
  • Search
  • Diagnosis
  • Quiz
  • Image comparison
  • Submit an Image
  • Teaching Cases
  • Index
  • About

Copyright 2022. Dermoscopy Atlas. ALL Rights Reserved.

Change Image