Site: Cheek
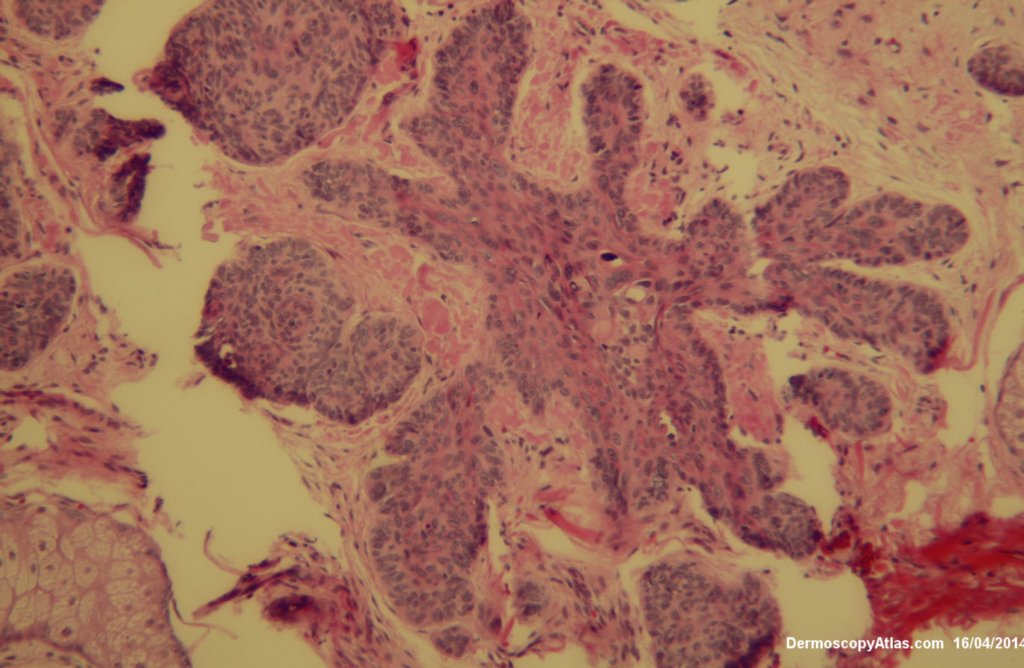
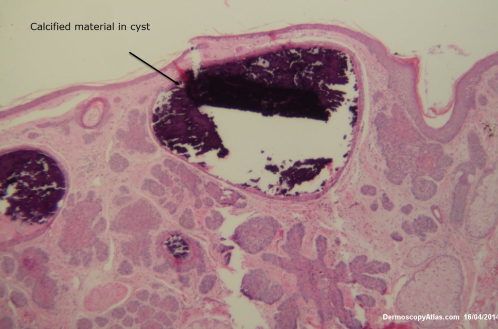
Diagnosis: Trichoepithelioma
Sex: M
Age: 45
Type: Dermlite Polarised
Submitted By: Ian McColl
Description: Lesion on cheek White clods and sharp linear branching vessels
History: This lesion was noted on the face. Clinically it was felt to be a BCC with milium cysts but the histology suggested a trichepithelioma with calcified cysts. The latter can also be seen in some BCCs. This was a solitary lesiuon. The desmoplastic trichoepithelioma usually has much smaller strands of cells in a more fibrotic stroma. The BCC with follicular differentiation usually has some perilesional clefting.