Loading
TeleDermConsult-logo
  • Recent Submissions
  • Search
  • Diagnosis
  • Quiz
  • Image comparison
  • Submit
  • Teaching Cases
  • Index
  • About

<< Back to Diagnosis Page

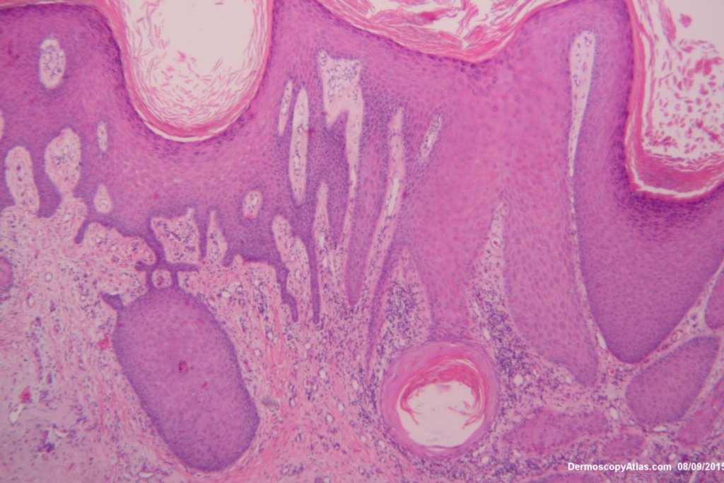
Image Number #3381 (Seborrhoeic keratosis)

Site: Back

Diagnosis: Seborrhoeic keratosis

Sex: M

Age: 88

Type: Dermlite Polarised

Submitted By: Ian McColl

View Full Size Image

Click Here to View Details
Click Here to View Details
Click Here to View Details
Click Here to View Details

Description: Lines curved, brown clods,

History:

 Pigmented lesion on the back of an elderly male showing crease lines. Recently Jeff Keir has been showing lentigo maligna on the legs where these crease lines are seen. 

DermNetNZ   eMedicine   PubMed   Dermatology Online   Archives   JAAD for "Seborrhoeic keratosis"

  • Recent Submissions
  • Search
  • Diagnosis
  • Quiz
  • Image comparison
  • Submit an Image
  • Teaching Cases
  • Index
  • About

Copyright 2022. Dermoscopy Atlas. ALL Rights Reserved.

Change Image