Loading
TeleDermConsult-logo
  • Recent Submissions
  • Search
  • Diagnosis
  • Quiz
  • Image comparison
  • Submit
  • Teaching Cases
  • Index
  • About

<< Back to Diagnosis Page

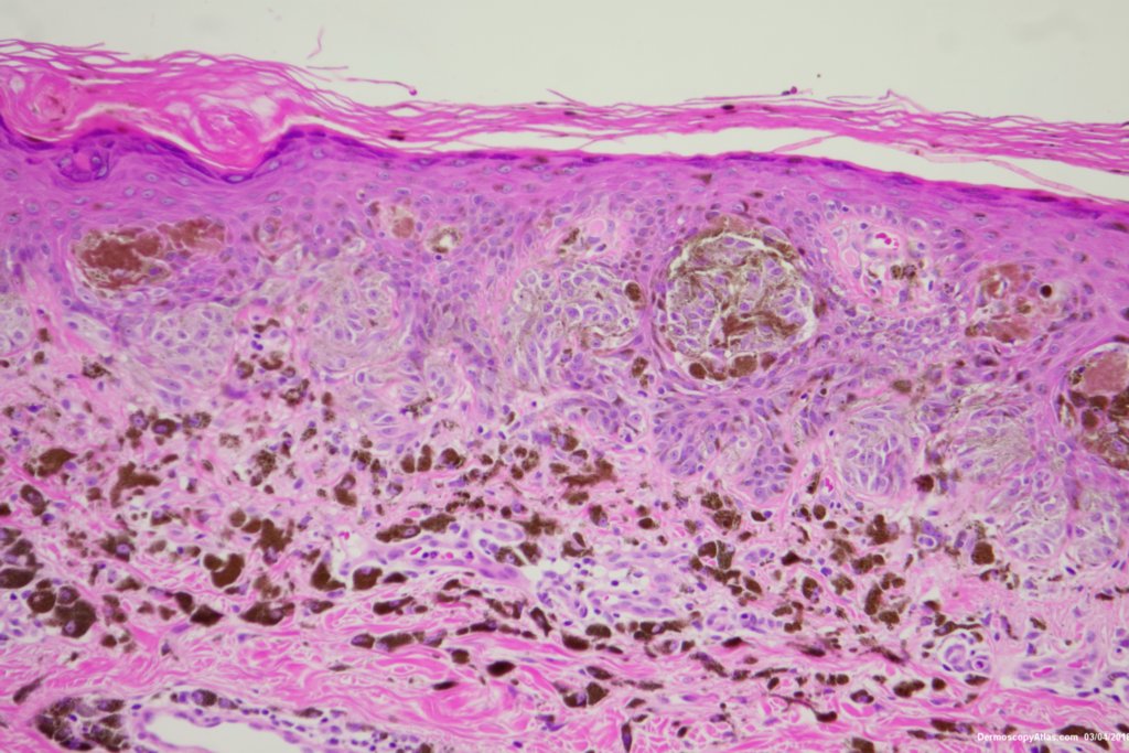
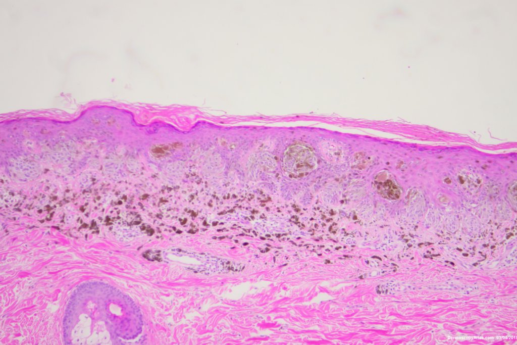
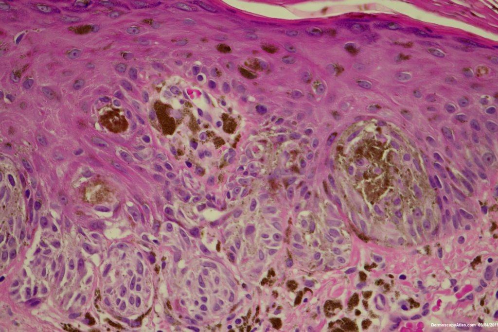
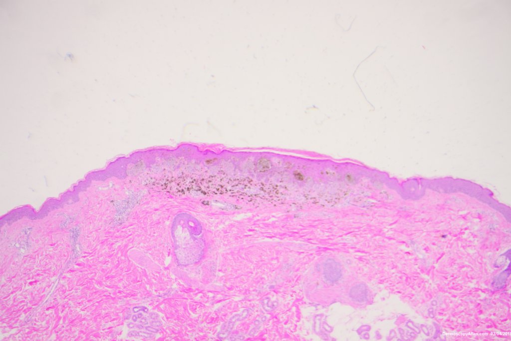
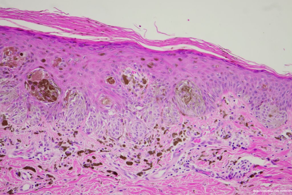
Image Number #3429 (Reed nevus)

Site: Shoulder

Diagnosis: Reed nevus

Sex: M

Age: 42

Type: Heine

Submitted By: Ian McColl

View Full Size Image

Click Here to View Details
Click Here to View Details
Click Here to View Details
Click Here to View Details
Click Here to View Details
Click Here to View Details
Click Here to View Details

Description: Peripheral pseudopods

History:

 Sudden onset of a new pigmented lesion on the shoulder. Dermatoscopy shows an actively proliferating lesion with peripheral pseudopods that involve most of the circumference. Clinically this was either a Reed nevus or a Spitzoid melanoma. The histology favours a Reed nevus. 

View a recent DOJ article on Reed Nevus Dermatoscopy 

View video of this case

View Pseudopods in Dermoscopy Made Simple

 

 

 

 

DermNetNZ   eMedicine   PubMed   Dermatology Online   Archives   JAAD for "Reed nevus"

  • Recent Submissions
  • Search
  • Diagnosis
  • Quiz
  • Image comparison
  • Submit an Image
  • Teaching Cases
  • Index
  • About

Copyright 2022. Dermoscopy Atlas. ALL Rights Reserved.

Change Image