Site: Chest
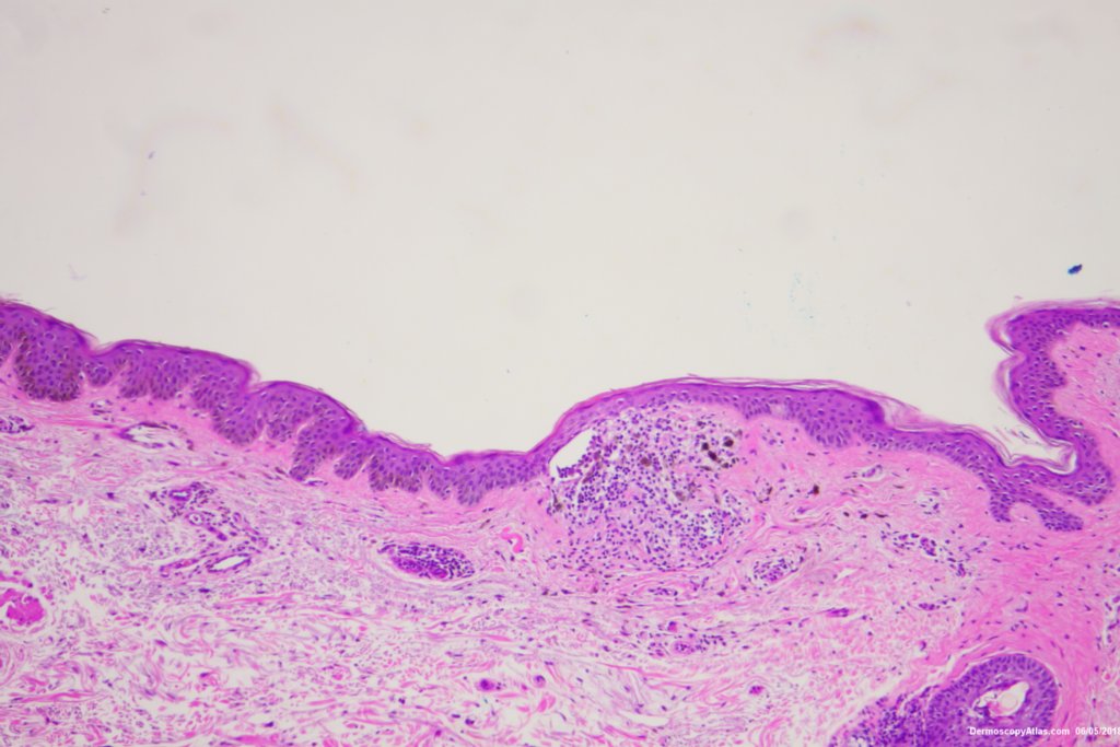
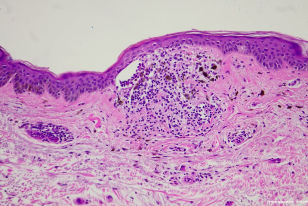
Diagnosis: Seborrhoeic keratosis
Sex: F
Age: 77
Type: Dermlite Polarised
Submitted By: Ian McColl
Description: Pigmented lesion chest wall
History:
The dark areas within this seborrhoeic keratosis were dark keratin cysts. There is an associated lichenoid reaction at areas.