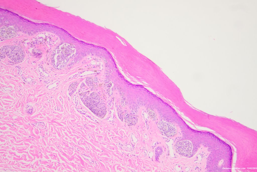
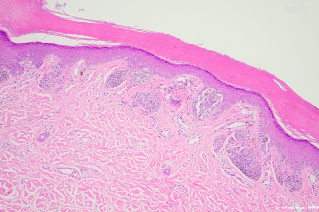
Site: Hand,palm
Diagnosis: Dysplastic nevus
Sex: F
Age: 30
Type: Dermlite Polarised
Submitted By: Ian McColl
Description: Dermatoscopy Lattice and furrow pattern
History:
Young lady had noted recent increase in size of this nevus on her palm.
The dermatoscopy shows a mild lattice and a peripheral furrow pattern.
The lesion was reported as an acral dysplastic nevus.