Loading
TeleDermConsult-logo
  • Recent Submissions
  • Search
  • Diagnosis
  • Quiz
  • Image comparison
  • Submit
  • Teaching Cases
  • Index
  • About

<< Back to Diagnosis Page

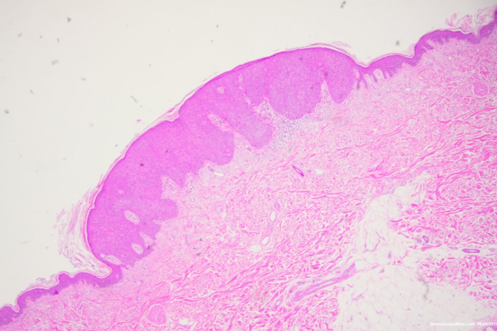
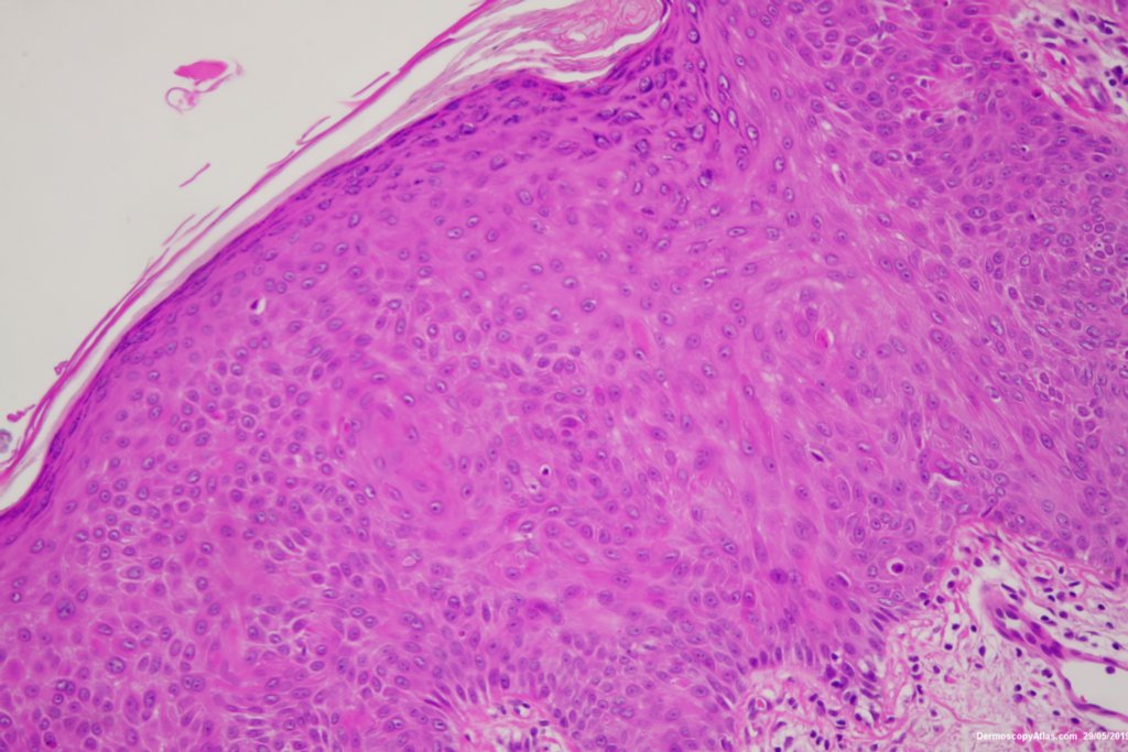
Image Number #3474 (Seborrhoeic keratosis irritated)

Site: Leg

Diagnosis: Seborrhoeic keratosis irritated

Sex: M

Age: 57

Type: Heine

Submitted By: Ian McColl

View Full Size Image

Click Here to View Details
Click Here to View Details
Click Here to View Details
Click Here to View Details

Description: pink lesion with coiled vessels

History:

 This lesion was noted during a routine skin examination in a patient with a past history of melanoma. The coiled vessels suggested it might be an area of Bowen's disease. I was concerned it might be an amelanotic melanoma but the latter usually has polymorphic vessels.

The histology showed a mildly irritated seborrhoeic keratosis.

You can view a description of the histology below

DermNetNZ   eMedicine   PubMed   Dermatology Online   Archives   JAAD for "Seborrhoeic keratosis irritated"

  • Recent Submissions
  • Search
  • Diagnosis
  • Quiz
  • Image comparison
  • Submit an Image
  • Teaching Cases
  • Index
  • About

Copyright 2022. Dermoscopy Atlas. ALL Rights Reserved.

Change Image