Site: Abdomen
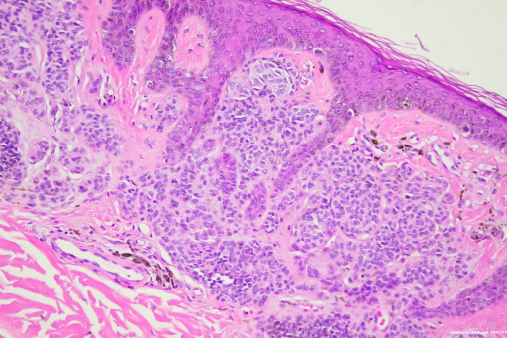
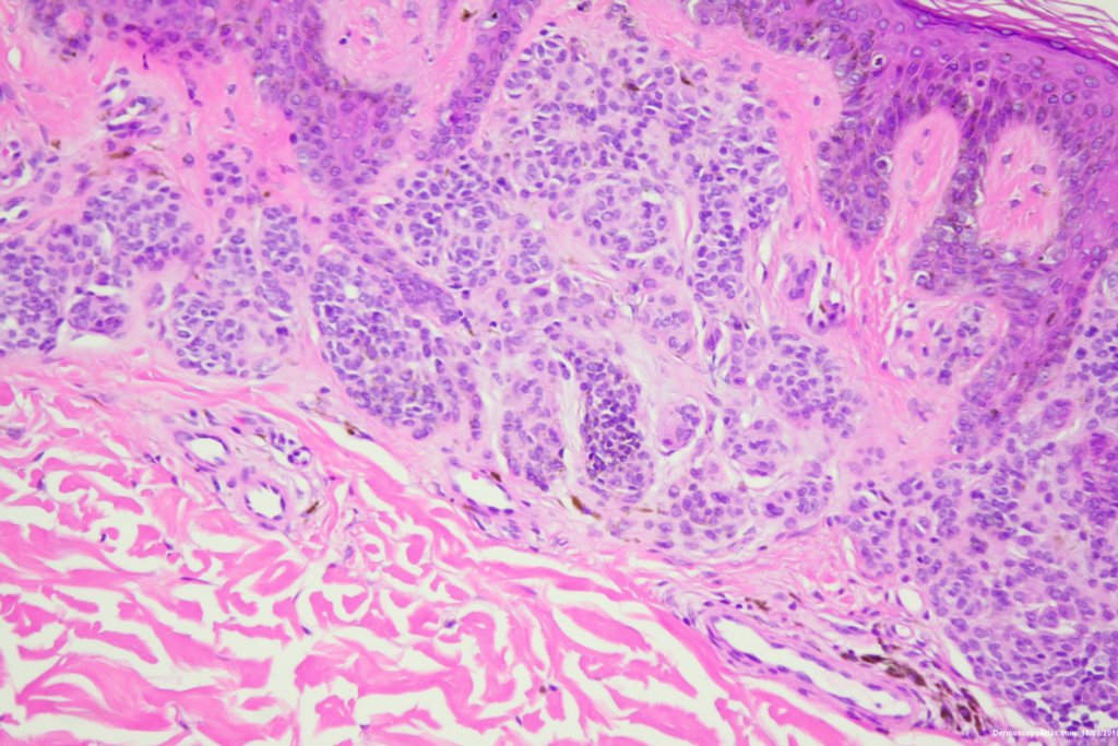
Diagnosis: Nevus compound
Sex: M
Age: 24
Type: Dermlite Polarised
Submitted By: Ian McColl
Description: Some grey dots and thickened network
History:
A pigmented lesion on the ankle which showed some grey dots suggesting regression and a slightly thickened network in parts.
Histology showed a compound nevus with some pigment in melanophages in the dermis giving the grey.