Loading
TeleDermConsult-logo
  • Recent Submissions
  • Search
  • Diagnosis
  • Quiz
  • Image comparison
  • Submit
  • Teaching Cases
  • Index
  • About

<< Back to Diagnosis Page

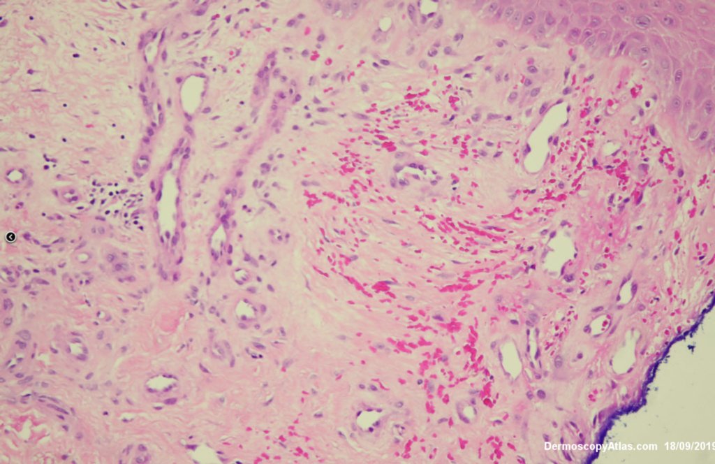
Image Number #3522 (Stasis vascular proliferation)

Site: Heel

Diagnosis: Stasis vascular proliferation

Sex: M

Age: 65

Type: Dermlite Polarised

Submitted By: Ian McColl

View Full Size Image

Click Here to View Details
Click Here to View Details
Click Here to View Details
Click Here to View Details

Description: Dermatoscopy of heel lesion

History:

 Curious firm area on the heel that I thought was bleeding into a corn but there was stasis vascular proliferation in the dermis with some hemorrhage. I thought it might have been a talon noir or a wart but neither in the histology.

DermNetNZ   eMedicine   PubMed   Dermatology Online   Archives   JAAD for "Stasis vascular proliferation"

  • Recent Submissions
  • Search
  • Diagnosis
  • Quiz
  • Image comparison
  • Submit an Image
  • Teaching Cases
  • Index
  • About

Copyright 2022. Dermoscopy Atlas. ALL Rights Reserved.

Change Image