Loading
TeleDermConsult-logo
  • Recent Submissions
  • Search
  • Diagnosis
  • Quiz
  • Image comparison
  • Submit
  • Teaching Cases
  • Index
  • About

<< Back to Diagnosis Page

Image Number #3595 (Lentigo maligna melanoma)

Site: Wrist

Diagnosis: Lentigo maligna melanoma

Sex: F

Age: 90

Type: Dermlite Polarised

Submitted By: Ian McColl

View Full Size Image

Click Here to View Details
Click Here to View Details
Click Here to View Details
Click Here to View Details
Click Here to View Details
Click Here to View Details
Click Here to View Details
Click Here to View Details
Click Here to View Details

Description: Lines branched and curved

History:

 Elderly patient with this slowly growing lesion on her wrist. Had been previously punch biopsied by her GP and reported as solar lentigo and left. 

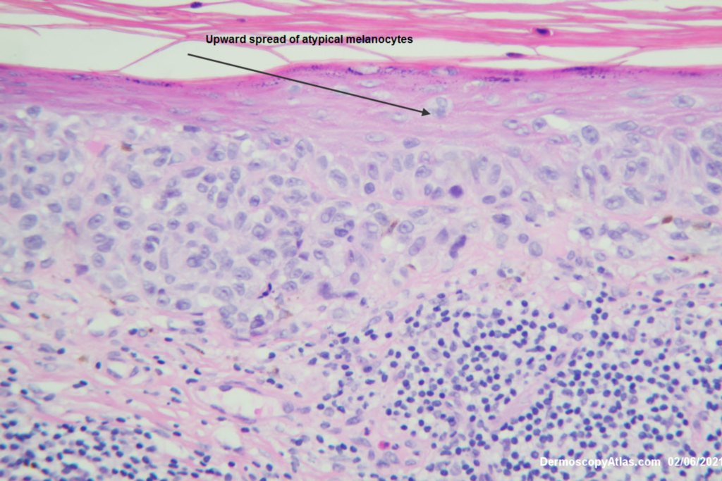
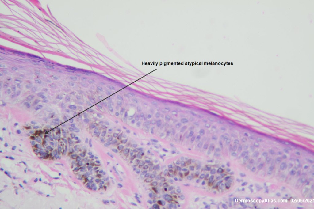
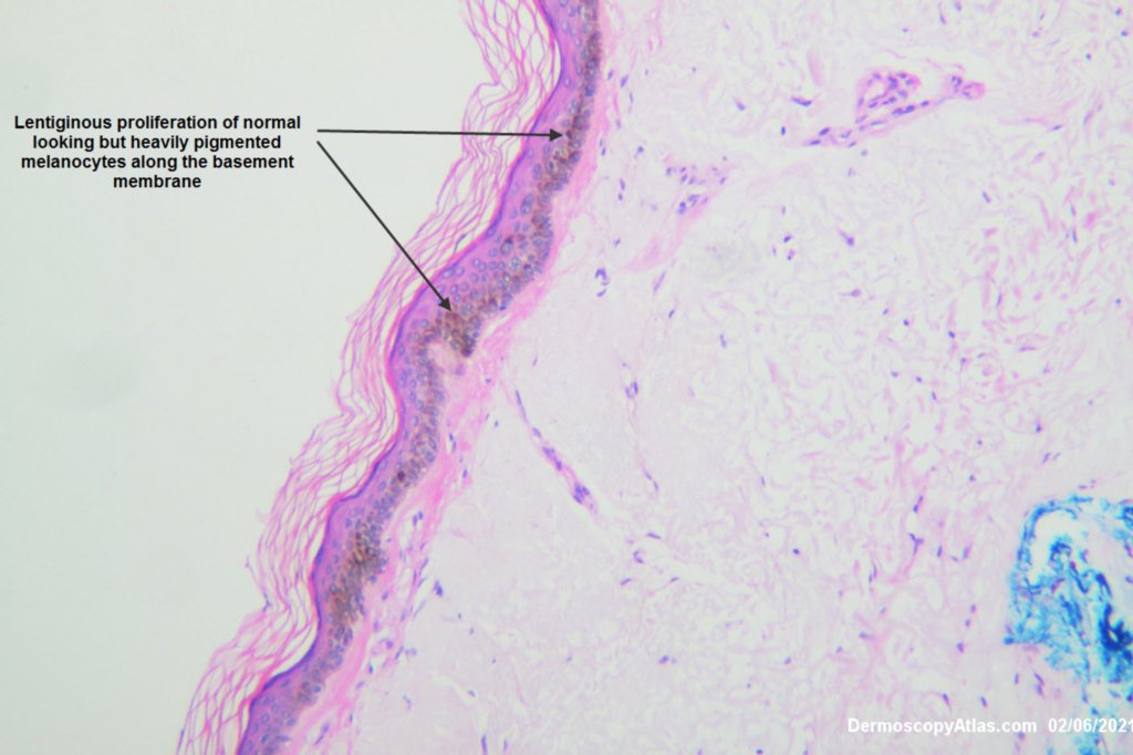
Shave biopsies showed different histologies but this was a lentigo maligna with an invasive lentigo maligna melanoma in part of the lesion. See the annotated histology.

Later re excised and actually closed primarily.

DermNetNZ   eMedicine   PubMed   Dermatology Online   Archives   JAAD for "Lentigo maligna melanoma"

  • Recent Submissions
  • Search
  • Diagnosis
  • Quiz
  • Image comparison
  • Submit an Image
  • Teaching Cases
  • Index
  • About

Copyright 2022. Dermoscopy Atlas. ALL Rights Reserved.

Change Image