Site: Back
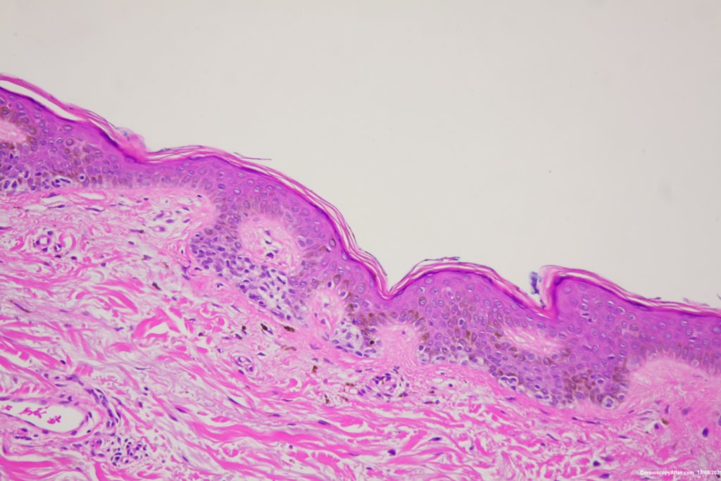
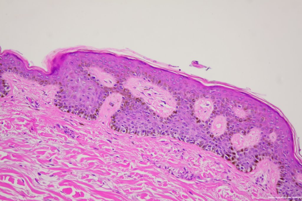
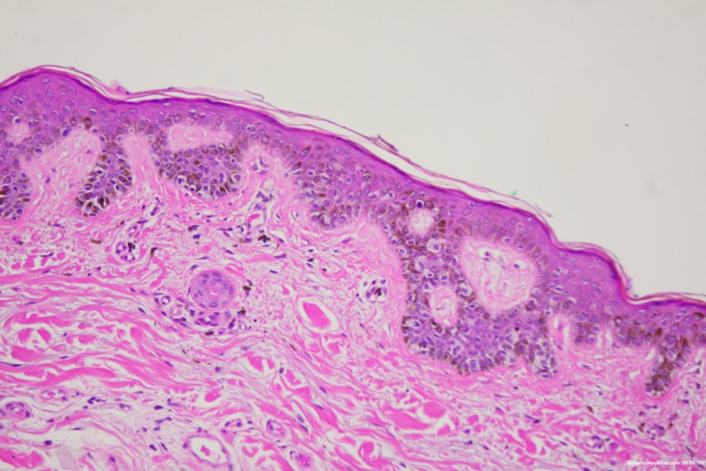
Diagnosis: Junctional lentiginous dysplastic nevus
Sex: M
Age: 75
Type: Dermlite Polarised
Submitted By: Ian McColl
Description: Lesion back dermatoscopy
History:
This lesion was noted on the back of a 75 year old male during a skin check. Dermatoscopically there was a pattern of lines curved and some grey dots.
This case was reported as a lentiginous junctional nevus with some architectural features of an adjacent seb k. They did a Sox 10 on this as well. Minor compound component but no convincing malignant features. Now he is 75 years old so you could argue a benign lesion is unlikely. They did not do a PRAME on it . The shave removed it all. I am not going to pursue this further.