Loading
TeleDermConsult-logo
  • Recent Submissions
  • Search
  • Diagnosis
  • Quiz
  • Image comparison
  • Submit
  • Teaching Cases
  • Index
  • About

<< Back to Diagnosis Page

Image Number #3630 (Kittler Seborrhoeic keratosis reticulate)

Site: Shoulder

Diagnosis: Kittler Seborrhoeic keratosis reticulate

Sex: M

Age: 63

Type: Dermlite Polarised

Submitted By: Ian McColl

View Full Size Image

Click Here to View Details
Click Here to View Details

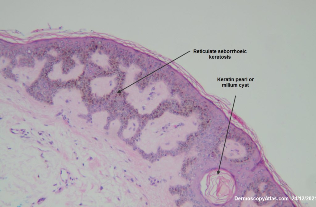
Description: Seborrhoeic keratosis

History:

 Seborrhoeic keratoses are great dermatoscopic imitators. Usually you see crypts or clods of various colours depending on where the keratin is. The clods can be orange, yellow, black, brown or white. The background pigmentation of a seb k can be minimal (pink) lesion or jet black as in the so called melanoacanthoma.

View Seb K in Dermoscopy Made Simple  

 

 

Flat thin lesions can look like a solar lentigo with lines retic or curved and with brown circles on the face with pigment around the openings of hair follicles.

Lines curved of varying thickness sometimes showing a parallel orientation are seen in thicker lesions but they also tend to show various coloured clods

DermNetNZ   eMedicine   PubMed   Dermatology Online   Archives   JAAD for "Kittler Seborrhoeic keratosis reticulate"

  • Recent Submissions
  • Search
  • Diagnosis
  • Quiz
  • Image comparison
  • Submit an Image
  • Teaching Cases
  • Index
  • About

Copyright 2022. Dermoscopy Atlas. ALL Rights Reserved.

Change Image