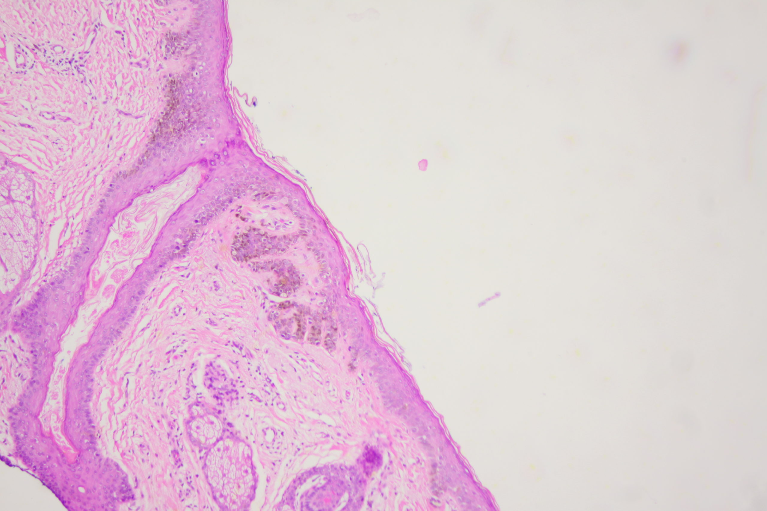
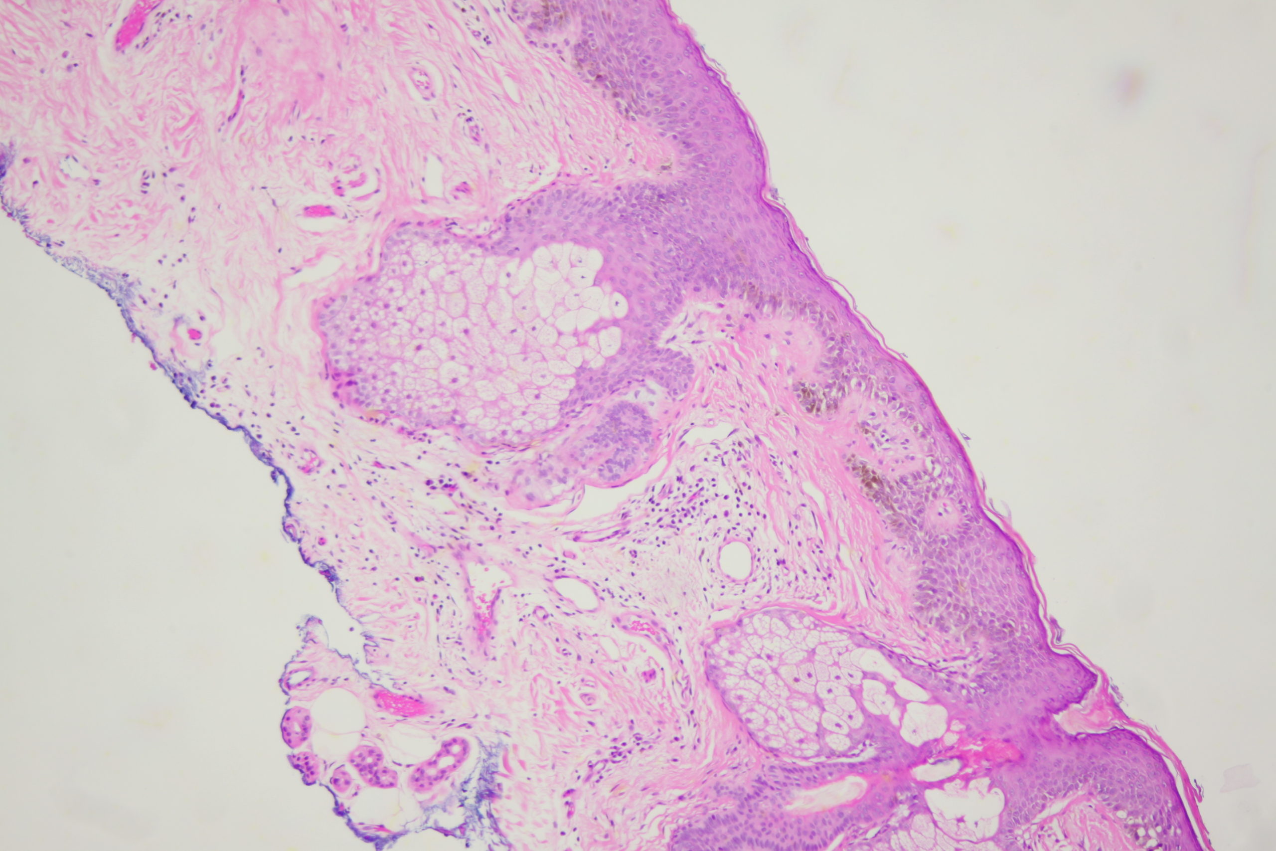
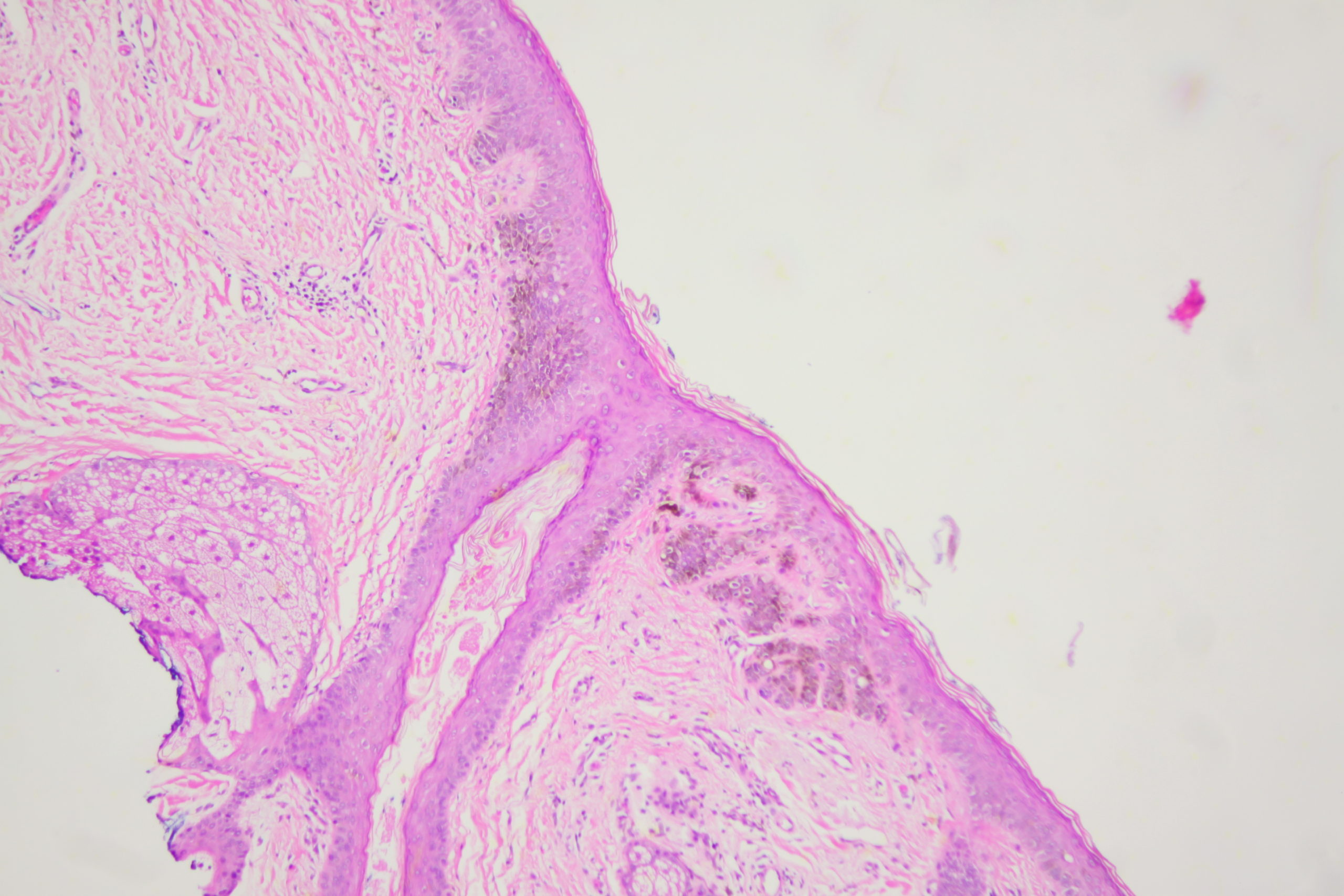
Site: Cheek
Diagnosis: Lentigo Maligna
Sex: M
Age: 65
Type: Dermlite Polarised
Submitted By: Ian McColl
Description: Slowly growing pigmented lesion cheek
History:
A pigmented lesion on the cheek that has slowly been increasing in size over several years. Male aged 65. Smooth surface.
Dermatoscopy shows pigment dots and pigment around follicles as grey circles. PRAME and Sox 10 showed atypical melanocytes along the DEJ extending into and down follicles with localised upward pagetoid spread. Early Lentigo maligna / Superficial intraepidermal melanoma.