Loading
TeleDermConsult-logo
  • Recent Submissions
  • Search
  • Diagnosis
  • Quiz
  • Image comparison
  • Submit
  • Teaching Cases
  • Index
  • About

<< Back to Diagnosis Page

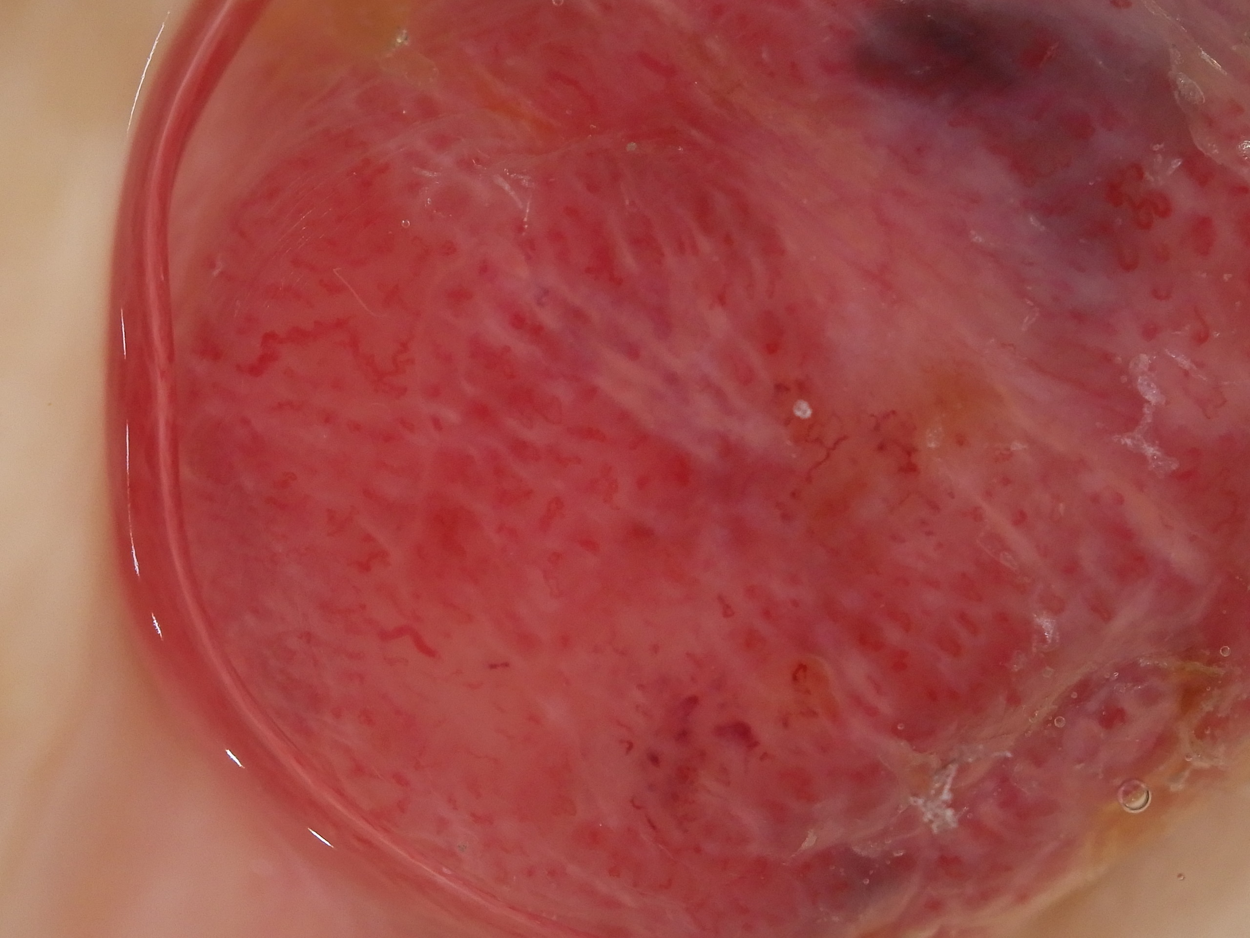
Image Number #3846 (Melanoma nodular)

Site: Abdomen

Diagnosis: Melanoma nodular

Sex: M

Age: 74

Type: Dermlite Polarised

Submitted By: Ian McColl

View Full Size Image

Click Here to View Details
Click Here to View Details
Click Here to View Details
Click Here to View Details
Click Here to View Details
Click Here to View Details

Description:

Pink nodule with white lines and pigmented clods

History:

This nodule grew rapidly over a 6 week period with no history of a pre existing lesion. The patient had no past history of melanoma. The lesion was painless.

It was a 7 mm thick nodular melanoma with many mitoses. 

DermNetNZ   eMedicine   PubMed   Dermatology Online   Archives   JAAD for "Melanoma nodular"

  • Recent Submissions
  • Search
  • Diagnosis
  • Quiz
  • Image comparison
  • Submit an Image
  • Teaching Cases
  • Index
  • About

Copyright 2022. Dermoscopy Atlas. ALL Rights Reserved.

Change Image