Site: Thigh
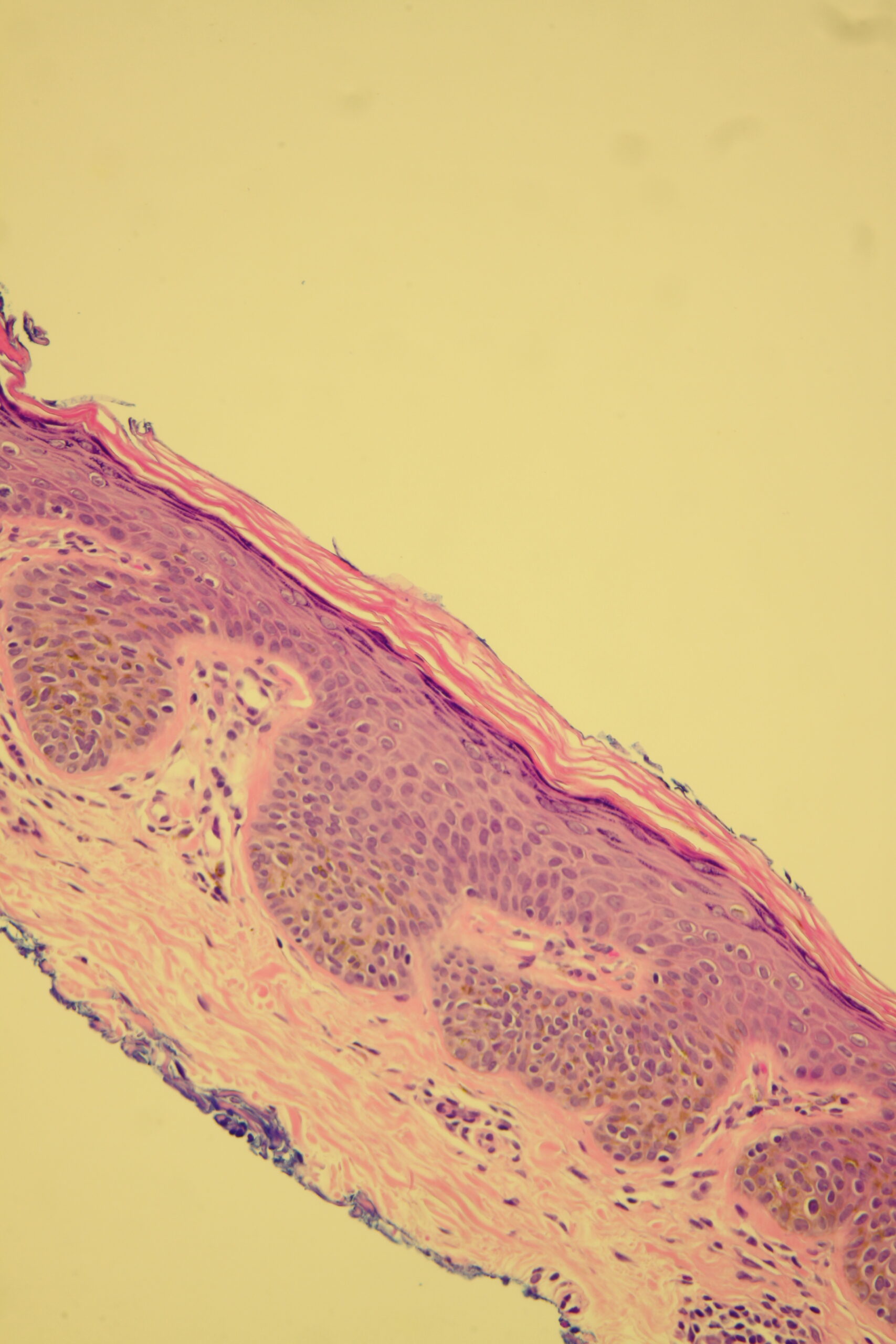
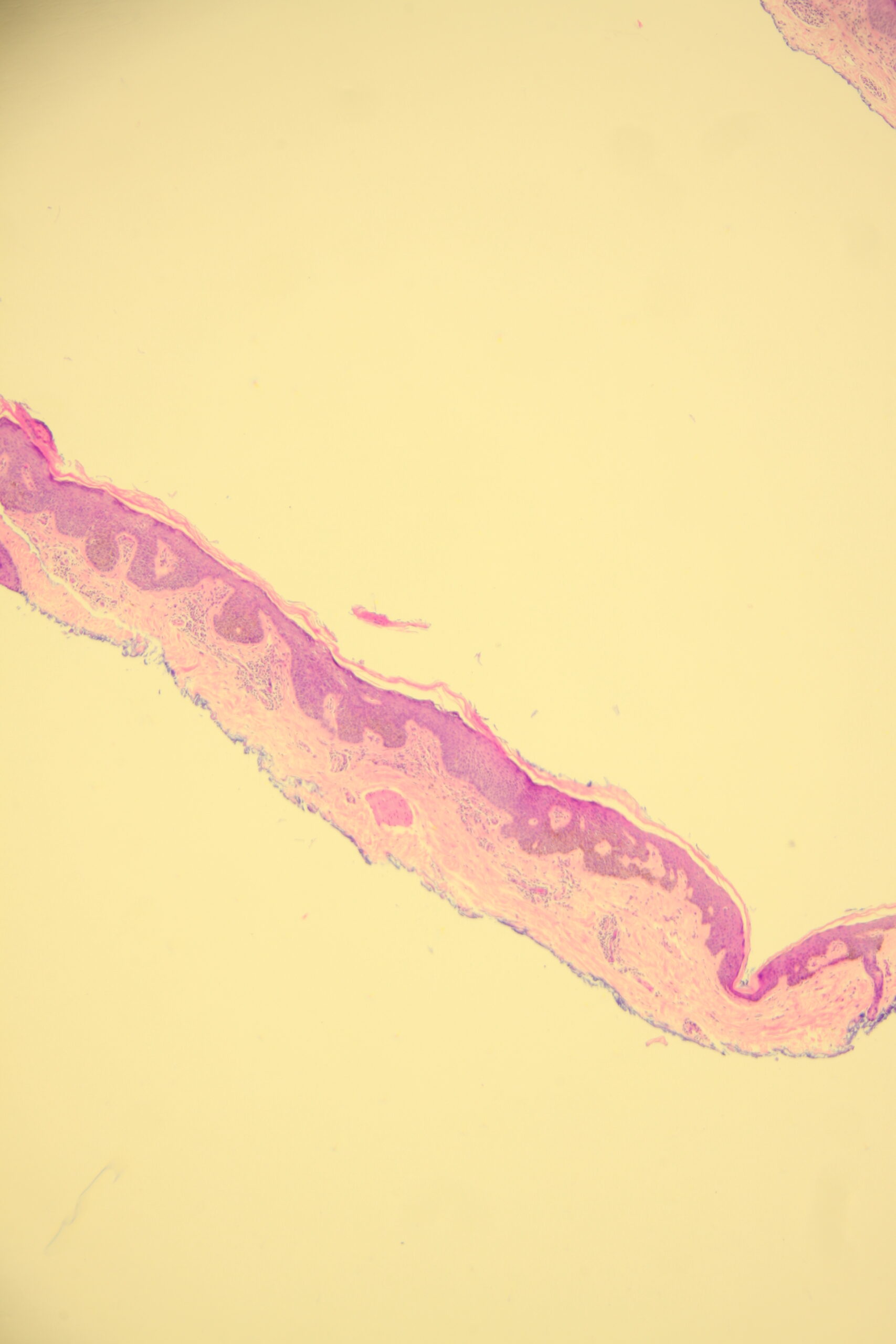
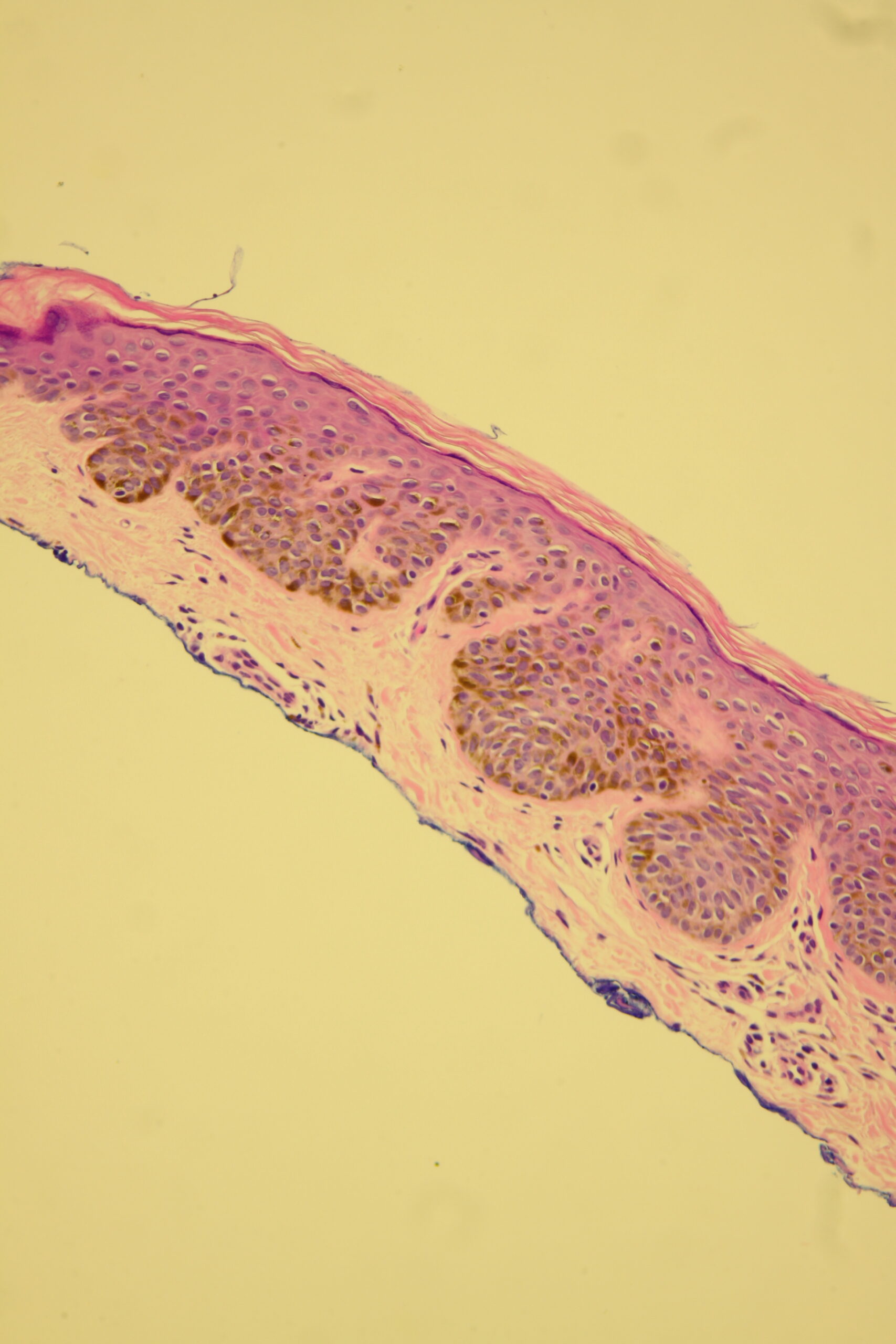
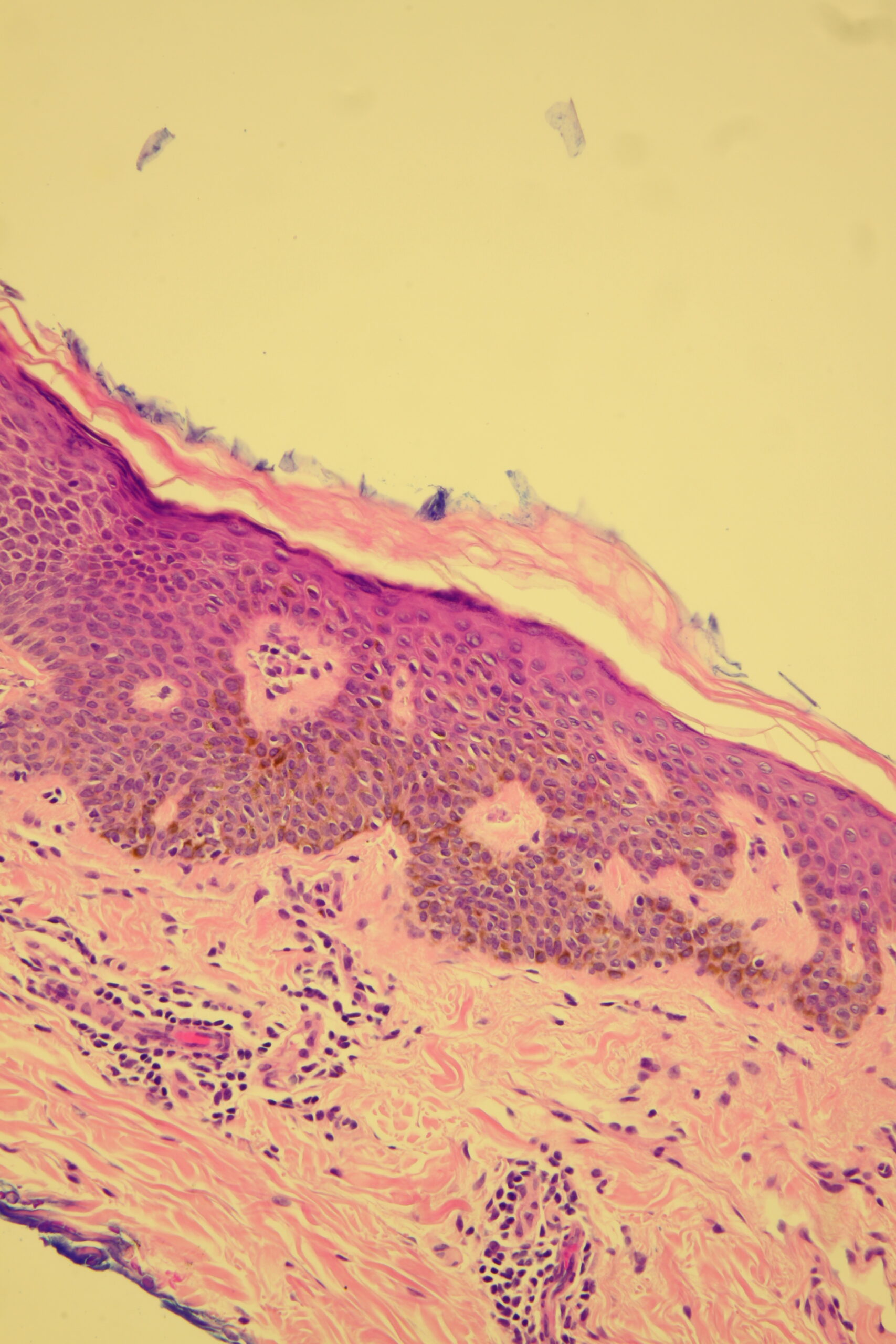
Diagnosis: Seborrhoeic keratosis
Sex: F
Age: 55
Type: Dermlite Polarised
Submitted By: Ian McColl
Description: Pigmented lesion posterior thigh . Is there scaling on the surface?
History:
Unusual flat pigmented lesion noted on the posterior thigh in a female in her 50s with a past history of melanoma. I shaved it because I thought it was melanocytic. However the histology shows a pigmented seborrhoeic keratosis.