Loading
TeleDermConsult-logo
  • Recent Submissions
  • Search
  • Diagnosis
  • Quiz
  • Image comparison
  • Submit
  • Teaching Cases
  • Index
  • About

<< Back to Diagnosis Page

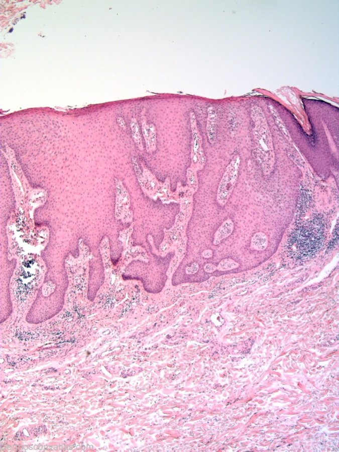
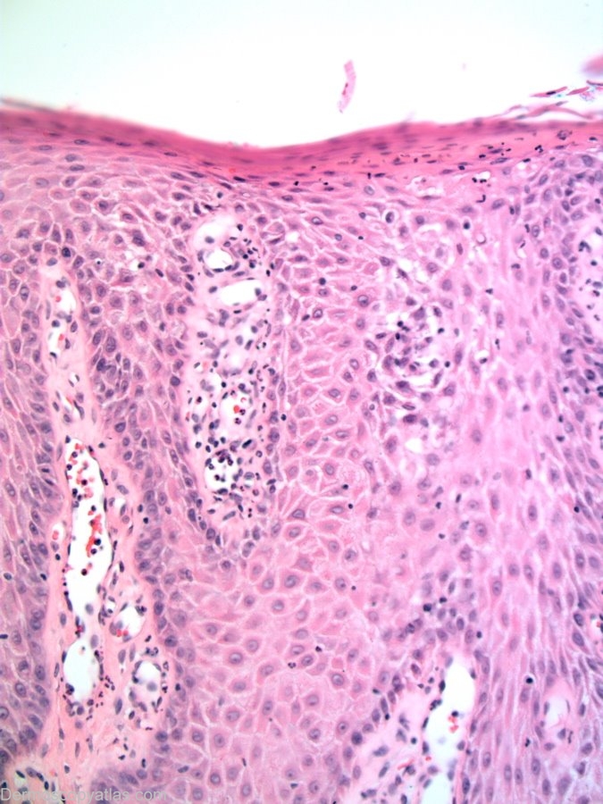
Image Number #2141 (Clear cell acanthoma)

Site: Chest

Diagnosis: Clear cell acanthoma

Sex: M

Age: 56

Type: Heine

Submitted By: Ian McColl

View Full Size Image

Click Here to View Details
Click Here to View Details
Click Here to View Details
Click Here to View Details

Description: Lesion on the chest wall. Note the string of pearls vessels and the glycogen rich keratinocytes giving the lesion its histological clear colour.

History: Images courtesy of Dr Alan Cameron This lesion arose slowly over a 16 week period. There was no bleeding.
View the Blog discussion of this case

DermNetNZ   eMedicine   PubMed   Dermatology Online   Archives   JAAD for "Clear cell acanthoma"

  • Recent Submissions
  • Search
  • Diagnosis
  • Quiz
  • Image comparison
  • Submit an Image
  • Teaching Cases
  • Index
  • About

Copyright 2022. Dermoscopy Atlas. ALL Rights Reserved.

Change Image