Loading
TeleDermConsult-logo
  • Recent Submissions
  • Search
  • Diagnosis
  • Quiz
  • Image comparison
  • Submit
  • Teaching Cases
  • Index
  • About

Teaching Cases


teach1

History

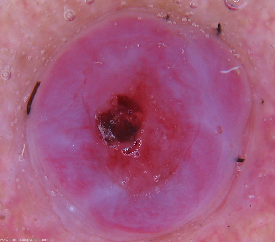
Case 4 Left cheek of 55 y.o man.Noticed by the patient for over a month.It is not tender.

teach1

View Full Size Image

Question: What is your diagnosis? (Consider Angiokeratoma,granuloma pyogenicum,amelanotic melanoma, Kaposi's sarcoma and hemangioma)

Answer: Pyogenic granuloma



Next Question
  • Recent Submissions
  • Search
  • Diagnosis
  • Quiz
  • Image comparison
  • Submit an Image
  • Teaching Cases
  • Index
  • About

Copyright 2022. Dermoscopy Atlas. ALL Rights Reserved.

Change Image